BonstudioAI全自動化行銷系統,立即預約免費體驗
植牙有保固嗎?診所沒告訴你的保固條款細節

植牙保固係指醫療機構或牙科醫師於患者接…

植牙保固係指醫療機構或牙科醫師於患者接…

在當今數位化的時代,維基百科是一個全球…

在製作牛排餐點之前,食材選擇為關鍵步驟…

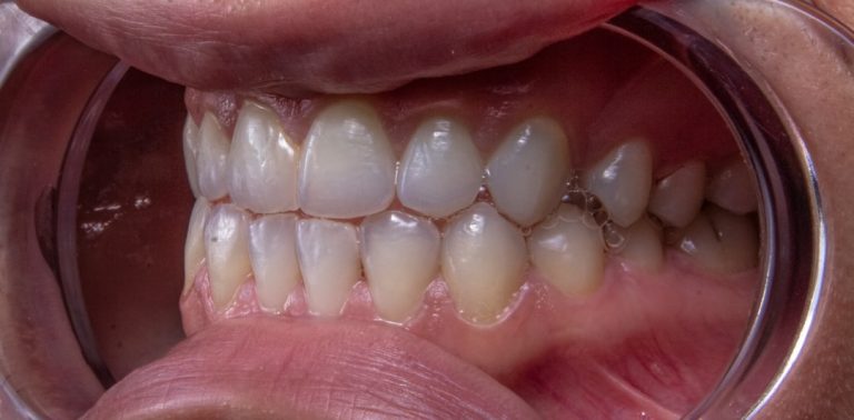
牙齒鬆動為常見口腔疾患,成因多元。牙周…

牙齒鬆動為常見口腔疾患,其病因多元且複…

選擇合適的植牙品牌對於手術的成功與否至…

瑪薩拉羊肉的起源可追溯至古代印度,此菜…

穿上實驗袍不僅僅是一種職業的象徵,更是…

牛排的歷史可以追溯至數個世紀前,最早的…

在烹飪美味牛排之前,首先需要準備好鑄鐵…